Table of Contents
Washington University Experience | PERIPHERAL NEUROPATHY | 12 ANTI-MAG NEUROPATHY | 1F3 Anti-MAG (Case 1) #2_002 - Copy A
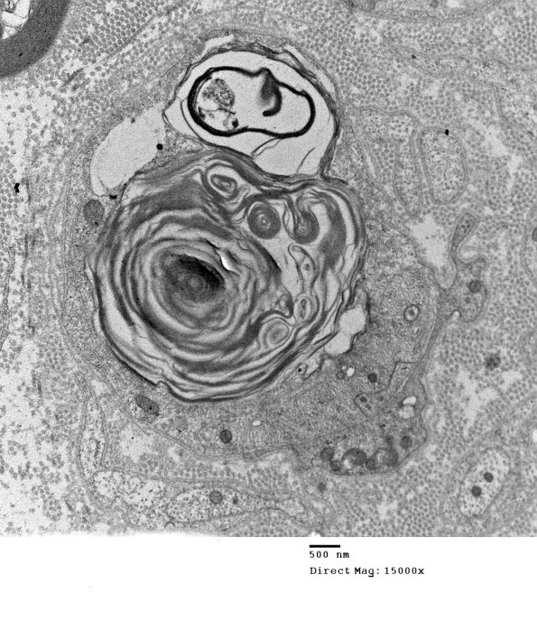
The residua of axonal degeneration consists of myelin debris held within a Schwann cell. (electron micrograph)
