Table of Contents



Washington University Experience | PERIPHERAL NEUROPATHY | 12 ANTI-MAG NEUROPATHY | 1F4 Anti-MAG (Case 1) #2_004 - Copy A

1F4 Anti-MAG (Case 1) #2_004 - Copy A
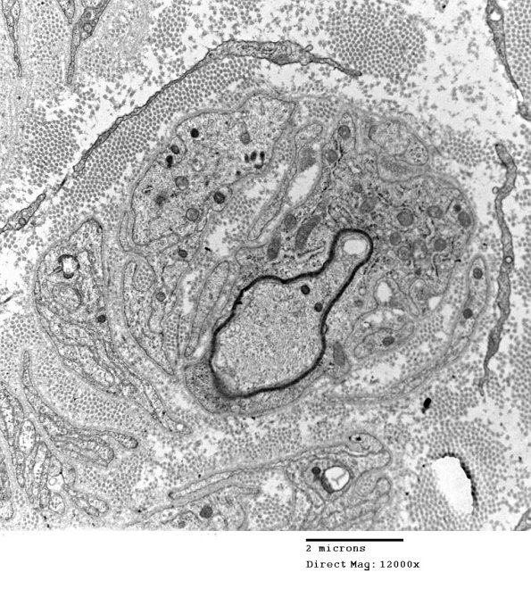
This thinly myelinated axon represents remyelination of a demyelinated segment. (electron micrograph)


Gallery RSS RSS Feed | Archive View | Login | Powered by Zenphoto