Table of Contents
Washington University Experience | PERIPHERAL NEUROPATHY | 12 ANTI-MAG NEUROPATHY | 2A1 Anti-MAG (Case 2) Plastic 10X
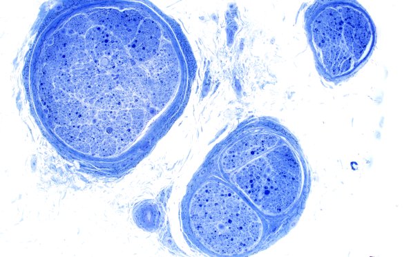
Case 2 History ---- The patient is a 75-year-old man with progressive neuropathy characterized by weakness and sensory loss in his hands and feet and serum anti-MAG antibodies. The biopsy is performed to rule out other causes of the progressive weakness before instituting treatment, as the clinical syndrome is atypical. ---- 2A1,2 It is important to recognize that this myelinopathy results in significant loss of large and small myelinated axons. (plastic section).
