Table of Contents
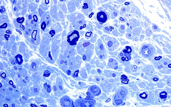
Washington University Experience | PERIPHERAL NEUROPATHY | 12 ANTI-MAG NEUROPATHY | 2A3 Anti-MAG (Case 2) Plastic 100X 12
2A3,4 Higher magnification shows loss of large and small myelinated axons (L>S) as well as unusual hyper-myelinated axons. (plastic sections).
