Table of Contents
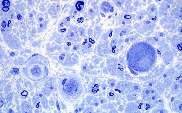
Washington University Experience | PERIPHERAL NEUROPATHY | 12 ANTI-MAG NEUROPATHY | 2A5 Anti-MAG (Case 2) Plastic 100X 4
There is a markedly expanded axon containing numerous organelles consistent with ongoing axonal degeneration. (plastic section).
