Table of Contents
Washington University Experience | PERIPHERAL NEUROPATHY | 12 ANTI-MAG NEUROPATHY | 2B1A (Case 2) Copy
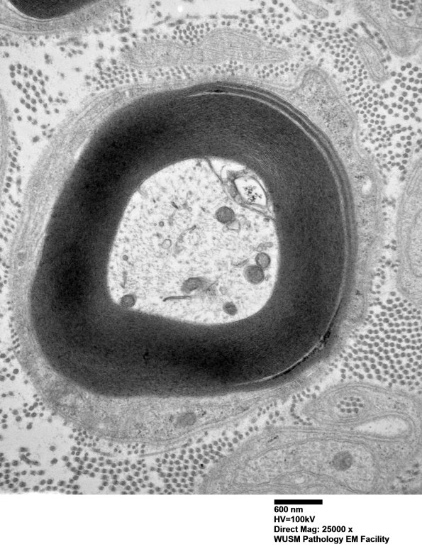
2B1A,B In distinction to the previous case, the number of axons with WSM is limited in extent of involvement of the myelin sheath and only occurs in rare axons. (electron micrographs)
