Table of Contents



Washington University Experience | PERIPHERAL NEUROPATHY | 12 ANTI-MAG NEUROPATHY | 2B2B (Case 2) 007 - Copy

2B2B (Case 2) 007 - Copy
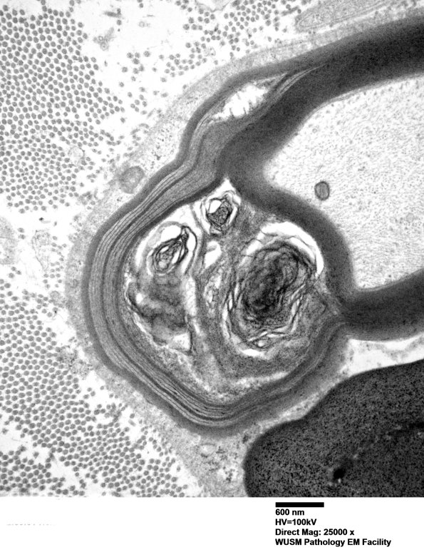
An unusual couple of axons, one of which shows focal WSM. (electron micrographs)


Gallery RSS RSS Feed | Archive View | Login | Powered by Zenphoto