Table of Contents



Washington University Experience | PERIPHERAL NEUROPATHY | 12 ANTI-MAG NEUROPATHY | 2C1 (Case 2) 013 - Copy

2C1 (Case 2) 013 - Copy
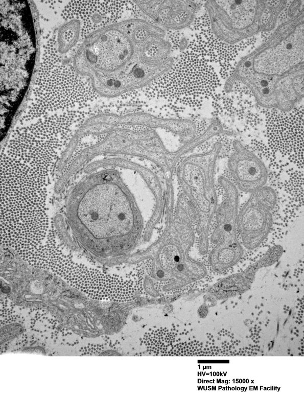
An example of demyelination of a small axon; note the adjacent smaller unmyelinated axons. (electron micrograph)


Gallery RSS RSS Feed | Archive View | Login | Powered by Zenphoto