Table of Contents
Washington University Experience | PERIPHERAL NEUROPATHY | 12 ANTI-MAG NEUROPATHY | 2C2 (Case 2) 022 - Copy
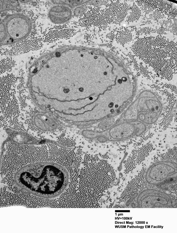
A large demyelinated axon exhibits unusual invagination of the axolemma, a result I have seen in both artifactual axon crush or in a degenerating/demyelinated/remyelinated axon. (electron micrograph)
