Table of Contents



Washington University Experience | PERIPHERAL NEUROPATHY | 12 ANTI-MAG NEUROPATHY | 2C3 (Case 2) Copy

2C3 (Case 2) Copy
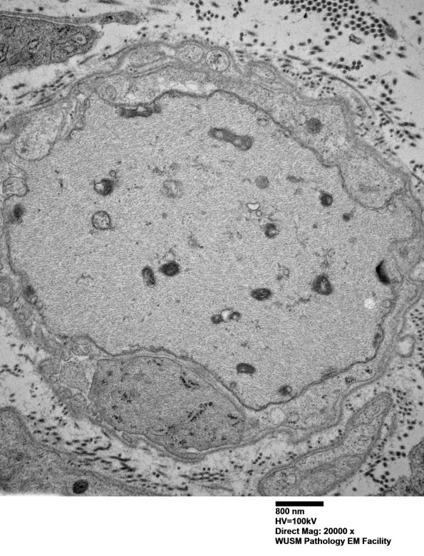
A large demyelinated axon with increased numbers of neurofilaments. (electron micrograph)


Gallery RSS RSS Feed | Archive View | Login | Powered by Zenphoto