Table of Contents
Washington University Experience | PERIPHERAL NEUROPATHY | 12 ANTI-MAG NEUROPATHY | 2C7 (Case 2) 031 - Copy
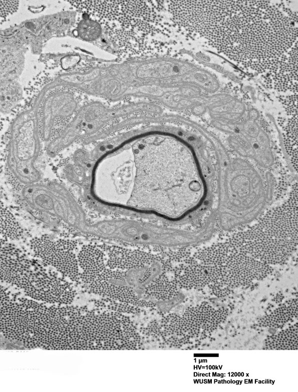
Remyelination of a small axon with a hint of concentric Schwann processes forming an “onion-bulb”. (electron micrographs)
