Table of Contents
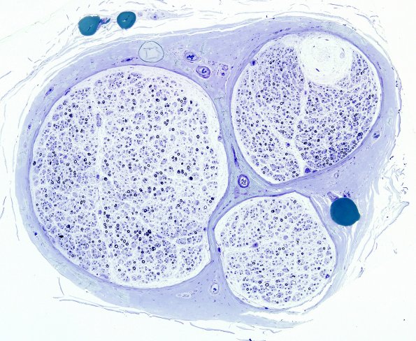
Washington University Experience | PERIPHERAL NEUROPATHY | 12 ANTI-MAG NEUROPATHY | 3A1 Anti-MAG Neuropathy (Case 3A) Plastic 5.jpg
This low magnification image shows significant loss of large and small myelinated axons. The upper right fascicle contains a Renaut body. (plastic sections).
