Table of Contents
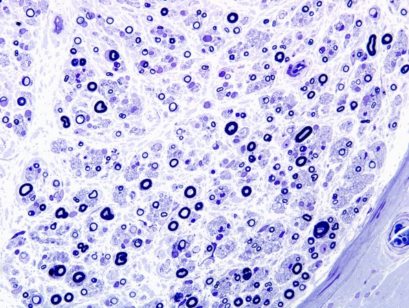
Washington University Experience | PERIPHERAL NEUROPATHY | 12 ANTI-MAG NEUROPATHY | 3A2 Anti-MAG Neuropathy (Case 3A) Plastic 8.jpg
There is significant loss of large myelinated axons with numerous large axons with thin myelin sheaths with few regenerative clusters. Small myelinated axons appear better preserved. (plastic sections).
