Table of Contents
Washington University Experience | PERIPHERAL NEUROPATHY | 12 ANTI-MAG NEUROPATHY | 3A3 Anti-MAG Neuropathy (Case 3A) Plastic 9.jpg
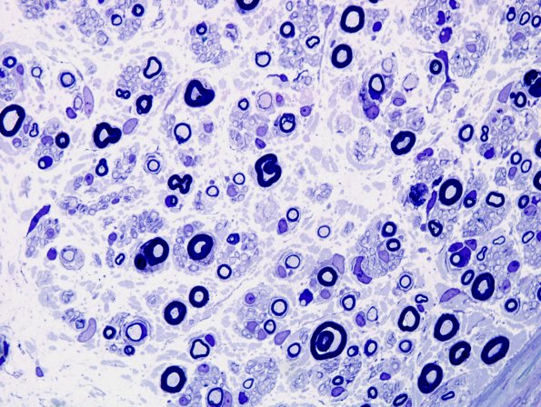
There are numerous thinly myelinated axons and a few rudimentary onion bulbs. (plastic section).
