Table of Contents
Washington University Experience | PERIPHERAL NEUROPATHY | 12 ANTI-MAG NEUROPATHY | 3B1 Anti-MAG Neuropathy (Case 3B) Plastic 5.jpg
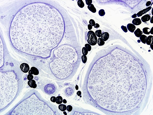
Sixteen years after the first biopsy the opposite sural nerve was biopsied. The overall axon population is diminished, particularly large myelinated axons. (plastic section)
