Table of Contents
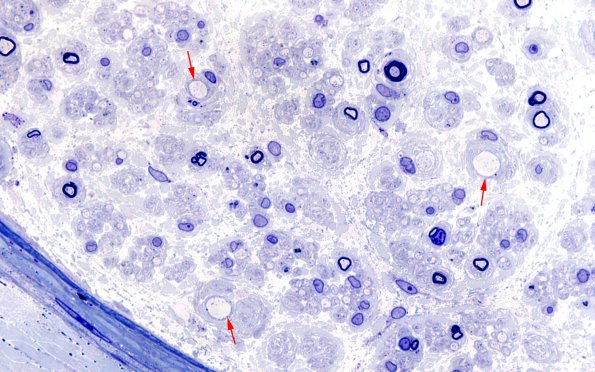
Washington University Experience | PERIPHERAL NEUROPATHY | 12 ANTI-MAG NEUROPATHY | 3B2 (Case 3B) Plastic100X 5 copy
This close up image confirms the loss of both large and small myelinated axons and numerous demyelinated axons (arrows). (plastic section)
