Table of Contents
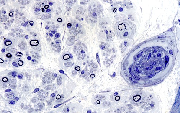
Washington University Experience | PERIPHERAL NEUROPATHY | 12 ANTI-MAG NEUROPATHY | 3B3 Neuropathy (Case 3B) 100X 2
3B3,4 There are significantly more onion-bulbs and they are composed of greater numbers of concentric Schwann cell processes. (plastic sections)
