Table of Contents
Washington University Experience | PERIPHERAL NEUROPATHY | 12 ANTI-MAG NEUROPATHY | 3B4 Renaut bodies (Case 3B) 100X 3
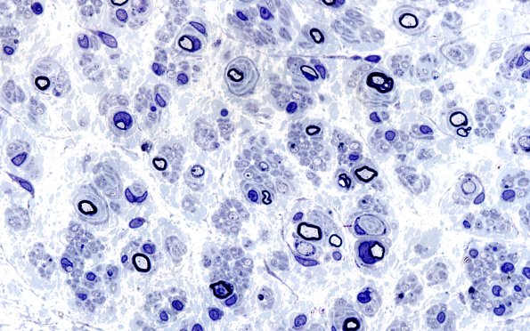
There are significantly more onion-bulbs and they are composed of greater numbers of concentric Schwann cell processes. (plastic sections)
