Table of Contents
Washington University Experience | PERIPHERAL NEUROPATHY | 12 ANTI-MAG NEUROPATHY | 4A1 (Case 4) H&E 4X 1
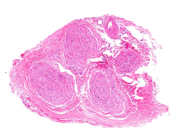
Case 4 History ---- A 69-year-old man with a severe demyelinating polyneuropathy in the setting of MYD88 positive lymphoplasmacytic lymphoma. ---- 4A1,2 There is no evidence of an inflammatory infiltrate. Although H&E sections are not reliable to determine axon number, the pallor of the endoneurial contents is suspicious for myelin axon loss. (H&E)
