Table of Contents
« prev
next »
Washington University Experience
|
PERIPHERAL NEUROPATHY
|
12 ANTI-MAG NEUROPATHY
|
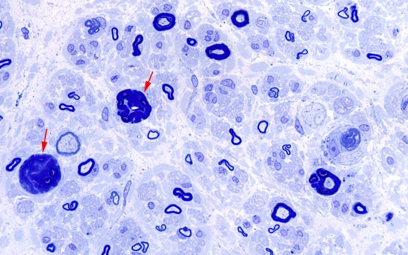
4C5 (Case 4) Plastic 100X 13 copy
4C5,6 There are scattered demyelinated axons and rare hyper-myelinated axons (arrows)
Image Info
Camera Maker:
Olympus
Camera Model:
DP74
Shutter Speed:
49/1250 sec
Metering Mode:
Multi-Spot
Gallery RSS
|
Archive View
|
Login
|
Powered by
Zenphoto