Table of Contents
Washington University Experience | PERIPHERAL NEUROPATHY | 12 ANTI-MAG NEUROPATHY | 4D3 (Case 4) 031 - Copy
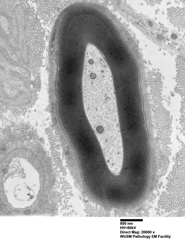
By itself this axon would not be compelling for the diagnosis of anti-MAG neuropathy. The diagnosis made was “suspicious for anti-MAG neuropathy”. (electron micrograph)
