Table of Contents
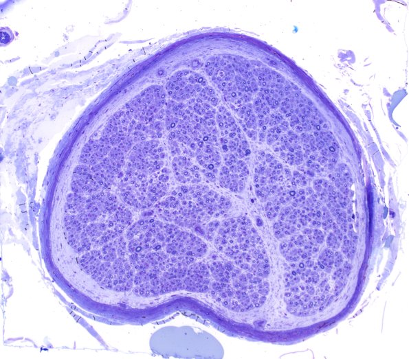
Washington University Experience | PERIPHERAL NEUROPATHY | 12 ANTI-MAG NEUROPATHY | 5A1 Paraprotein, AxDegen, Demyel, (Case 5) Plastic 10X 1
Case 5 History (Paraprotein, Axonal Degeneration, Demyelination) ----
The patient was an 86 year old woman whose surgical report included the statement that immunoglobulin IgM was present deposited on the nerve axons. ---- 5A1 This whole mount of a single fascicle of this biopsy shows myelinated axon loss and subperineurial clearing. (plastic section)
