Table of Contents
Washington University Experience | PERIPHERAL NEUROPATHY | 12 ANTI-MAG NEUROPATHY | 5A2 Paraprotein, AxDegen, Demyel, (Case 5) Plastic 1.jpg
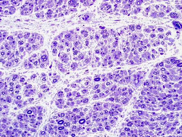
There is nearly complete loss of large myelinated axons; however, there are numerous small myelinated axons, many involved in regenerative clusters. (plastic section)
