Table of Contents
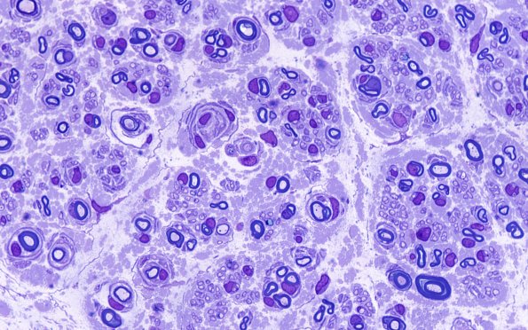
Washington University Experience | PERIPHERAL NEUROPATHY | 12 ANTI-MAG NEUROPATHY | 5A3 Paraprotein, AxDegen, Demyel, (Case 5) Plastic 100X 1
5A3,4 A higher magnification image shows that there are numerous small myelinated axons with demyelination (arrow) and onion bulb formation (arrowheads) as well as regenerative clusters.
