Table of Contents
« prev
next »
Washington University Experience
|
PERIPHERAL NEUROPATHY
|
12 ANTI-MAG NEUROPATHY
|
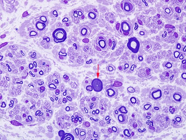
5A4 Paraprotein, AxDegen, Demye, (Case 5) Plastic 1 (2) copy.jpg
Note that one axon shows marked myelin thickening (arrow).
Image Info
Camera Maker:
Olympus Corporation
Camera Model:
DP70
Original Time Taken:
04-08-2014
Shutter Speed:
10/117 sec
ISO Sensitivity:
200
Metering Mode:
Spot
Gallery RSS
|
Archive View
|
Login
|
Powered by
Zenphoto