Table of Contents
Washington University Experience | PERIPHERAL NEUROPATHY | 12 ANTI-MAG NEUROPATHY | 5C1 Paraprotein, AxDegen, Demyel (Case 5) EM 015 - Copy
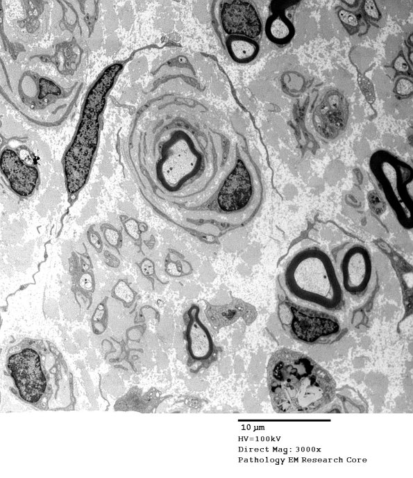
The majority of the pathologic findings in this case reflect demyelination and remyelination. (electron micrograph)
