Table of Contents
Washington University Experience | PERIPHERAL NEUROPATHY | 12 ANTI-MAG NEUROPATHY | 5C2C Paraprotein, AxDegen, Demyel (Case 5) EM 019 - Copy
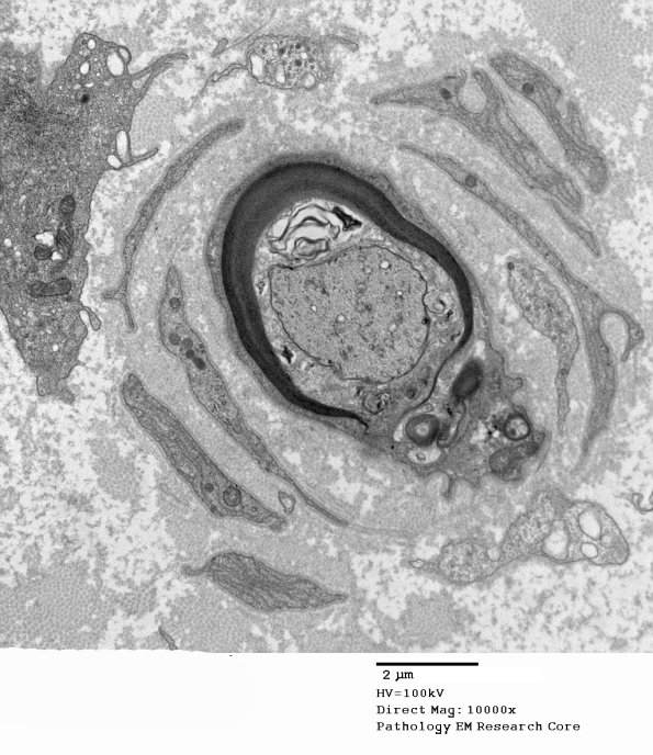
I think this axon from image #5C2A represents a node of Ranvier shown asymmetrically as characterized by its concentration of organelles, a hint of a subaxolemmal density and periaxonal microvilli. (electron micrograph)
