Table of Contents
Washington University Experience | PERIPHERAL NEUROPATHY | 12 ANTI-MAG NEUROPATHY | 5C3 Paraprotein, AxDegen, Demyel (Case 5) EM 004 - Copy
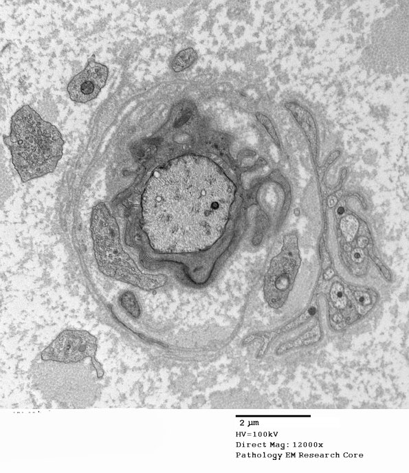
This is a more clearly illustrated node of Ranvier. Increased density of nodes are seen in demyelinating neuropathies since often an internode of myelin once demyelinated is replaced by two internodes and, thus, more nodes are visible in cross section. (electron micrograph)
