Table of Contents
Washington University Experience | PERIPHERAL NEUROPATHY | 12 ANTI-MAG NEUROPATHY | 5C5 Paraprotein, AxDegen, Demyel (Case 5) EM 025 - Copy
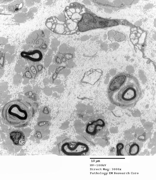
Onion bulbs are numerous and occasionally vacuolated fibroblasts are present. Were the tests available at the time of this biopsy it might have been useful to see this patient’s molecular genotype to determine if this was a form of Charcot-Marie-Tooth disease. (electron micrograph)
