Table of Contents
Washington University Experience | PERIPHERAL NEUROPATHY | 12 ANTI-MAG NEUROPATHY | 5C7A Paraprotein, AxDegen, Demyel, (Case 5) EM 027 - Copy
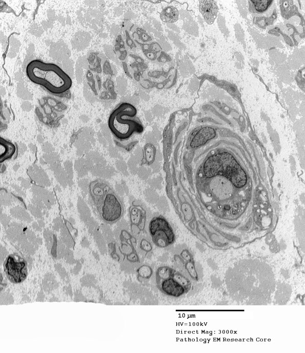
5C7A,B A very nice onion bulb with a central demyelinated axon. Compare the demyelinated axon diameter to adjacent smaller unmyelinated axons. (electron micrographs)
