Table of Contents
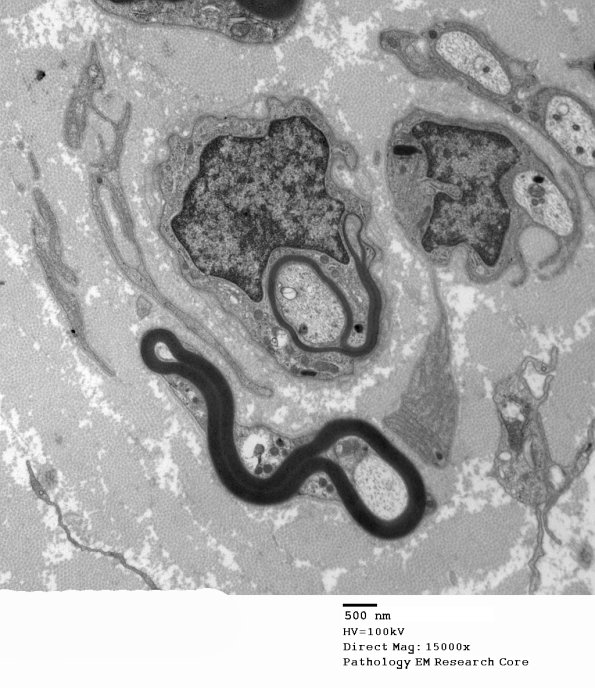
Washington University Experience | PERIPHERAL NEUROPATHY | 12 ANTI-MAG NEUROPATHY | 5C8 Paraprotein, AxDegen, Demyel, (Case 5) EM 036 - Copy
The remyelinating axon and an adjacent myelinated axon have unusual contours. (electron micrograph)
