Table of Contents
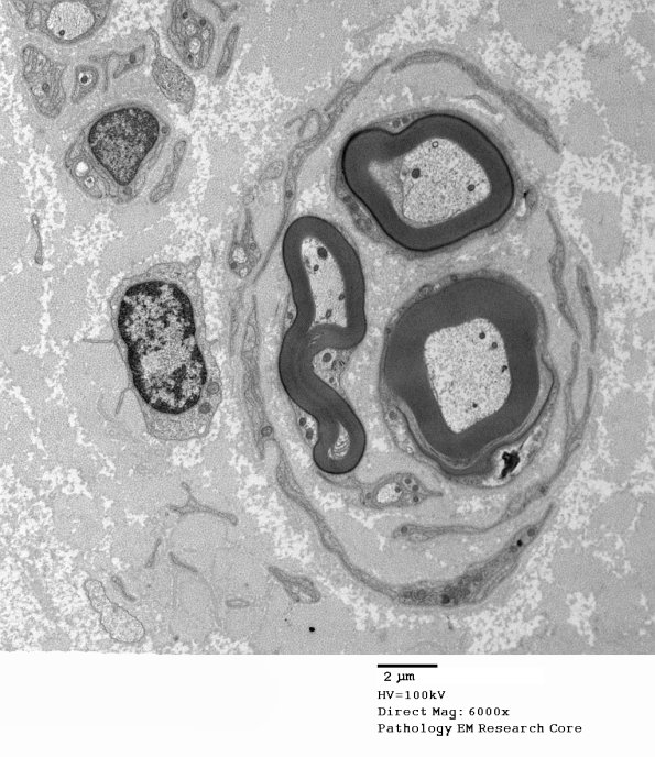
Washington University Experience | PERIPHERAL NEUROPATHY | 12 ANTI-MAG NEUROPATHY | 5D1 Paraprotein, AxDegen, Demyel, (Case 5) EM 2 - Copy
5D1,2 These are regenerative clusters signifying axonal degeneration and regeneration. (electron micrographs)
