Table of Contents
Washington University Experience | PERIPHERAL NEUROPATHY | 12 ANTI-MAG NEUROPATHY | 5D2 Paraprotein, AxDegen, Demyel, (Case 5) EM034 - Copy
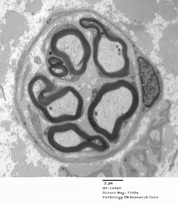
These are regenerative clusters signifying axonal degeneration and regeneration. (electron micrograph)
