Table of Contents
Washington University Experience | PERIPHERAL NEUROPATHY | 12 ANTI-MAG NEUROPATHY | 5D4 Paraprotein, AxDegen, Demyel, (Case 5) EM 029 - Copy
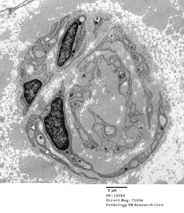
It is unclear if this is a pseudo-onion bulb or an onion bulb whose central axon has disappeared. (electron micrograph)
