Table of Contents
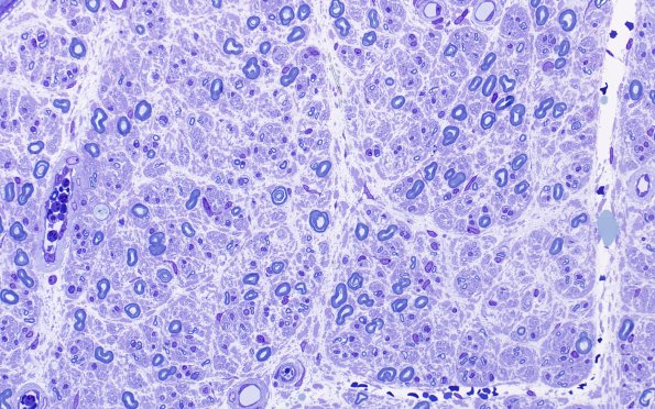
Washington University Experience | PERIPHERAL NEUROPATHY | 12 ANTI-MAG NEUROPATHY | 6A2 Anti-MAG Neuropathy (Case 6) Plastic 40X
In this case the sural nerve appears to contain a more normal complement of large myelinated axons and fewer small myelinated axons which may be parts of regenerative clusters. (plastic sections)
