Table of Contents
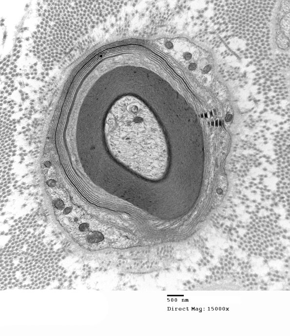
Washington University Experience | PERIPHERAL NEUROPATHY | 12 ANTI-MAG NEUROPATHY | 6B1A Anti-MAG NP (Case 6) EM 014 - Copy
6B1A-D This axon shows wide spaced myelin at several magnifications. The hemi-desmosomes are often seen at nodes but are not typical parts of WSM. (electron micrographs)
