Table of Contents
Washington University Experience | PERIPHERAL NEUROPATHY | 12 ANTI-MAG NEUROPATHY | 6B1C Anti-MAG (Case 6) EM019 - Copy
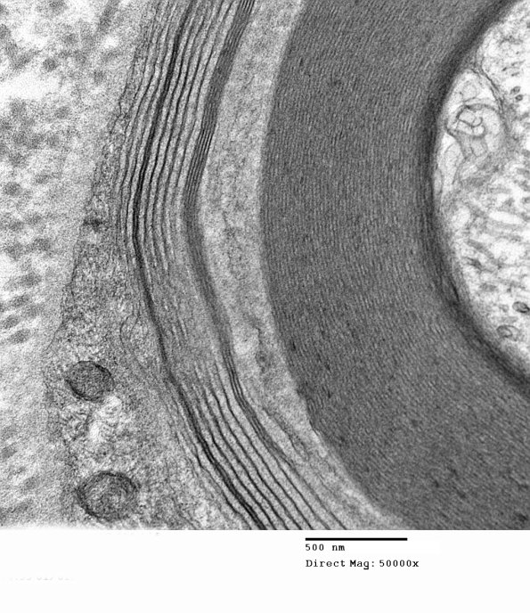
This axon shows wide spaced myelin at several magnifications. The hemi-desmosomes are often seen at nodes but are not typical parts of WSM. (electron micrographs)
