Table of Contents



Washington University Experience | PERIPHERAL NEUROPATHY | 12 ANTI-MAG NEUROPATHY | 6B2B Anti-MAG NP (Case 6) EM 026A - Copy

6B2B Anti-MAG NP (Case 6) EM 026A - Copy
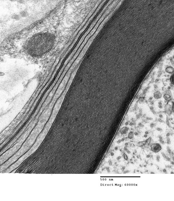
An unusually shaped axon with WSM seen at several magnifications. (electron micrographs)


Gallery RSS RSS Feed | Archive View | Login | Powered by Zenphoto