Table of Contents
Washington University Experience | PERIPHERAL NEUROPATHY | 12 ANTI-MAG NEUROPATHY | 6C1A Anti-MAG NP (Case 6) EM 040 - Copy
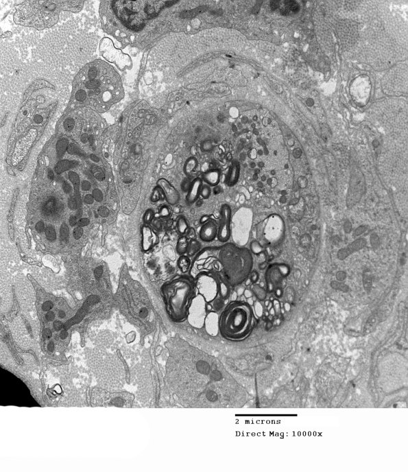
6C1A,B At first I thought this was a degenerating axon but higher magnification shows a preserved axon (arrow, 6C1B) (electron micrographs)
