Table of Contents



Washington University Experience | PERIPHERAL NEUROPATHY | 12 ANTI-MAG NEUROPATHY | 6C1B Anti-MAG NP (Case 6) EM 043 - Copy copy

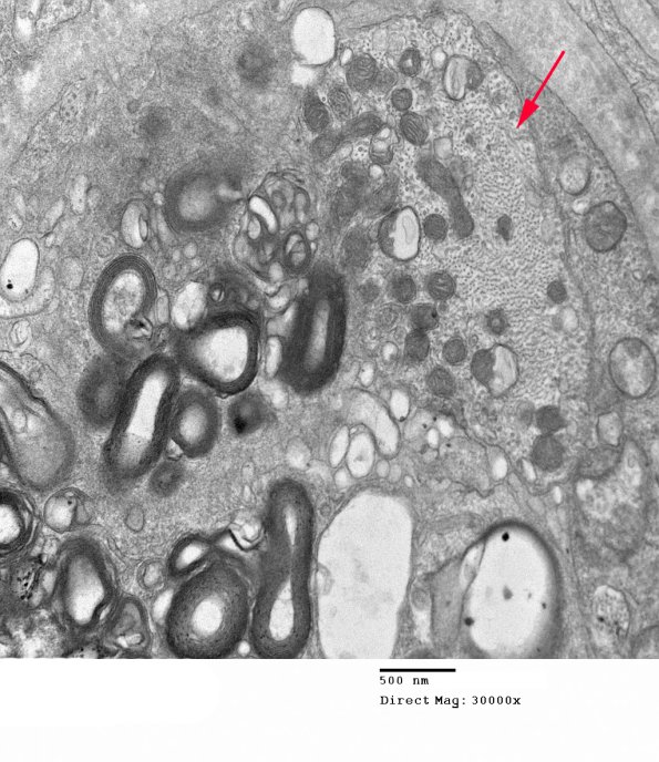
6C1B Anti-MAG NP (Case 6) EM 043 - Copy copy
Higher magnification shows a preserved axon (arrow, 6C1B) (electron micrograph)


Gallery RSS RSS Feed | Archive View | Login | Powered by Zenphoto