Table of Contents
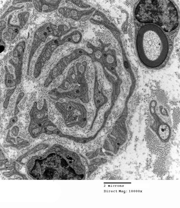
Washington University Experience | PERIPHERAL NEUROPATHY | 12 ANTI-MAG NEUROPATHY | 6C2A Anti-MAG NP (Case 6) EM 004 - Copy
6C2A,B These collagen pockets are present in increased numbers which is evidence of unmyelinated axon degeneration, (electron micrographs)
