Table of Contents
« prev
next »
Washington University Experience
|
PERIPHERAL NEUROPATHY
|
12 ANTI-MAG NEUROPATHY
|
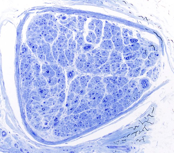
7B1 Anti-MAG (Case 7) Plastic 20X 1
7B1,2 There is marked, near complete loss of large myelinated axons. (plastic sections)
Image Info
Camera Maker:
Olympus
Camera Model:
DP74
Shutter Speed:
1/1000 sec
Metering Mode:
Multi-Spot
Gallery RSS
|
Archive View
|
Login
|
Powered by
Zenphoto