Table of Contents
« prev
next »
Washington University Experience
|
PERIPHERAL NEUROPATHY
|
12 ANTI-MAG NEUROPATHY
|
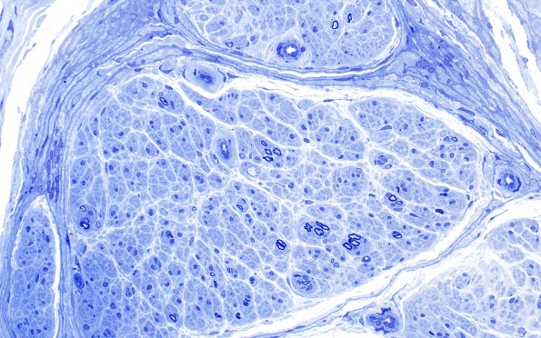
7B4 Anti-MAG (Case 7) Plastic 40X 2
7B4,5 Some areas show multiple regenerative clusters. (plastic sections)
Image Info
Camera Maker:
Olympus
Camera Model:
DP74
Shutter Speed:
30/7109 sec
Metering Mode:
Multi-Spot
Gallery RSS
|
Archive View
|
Login
|
Powered by
Zenphoto