Table of Contents



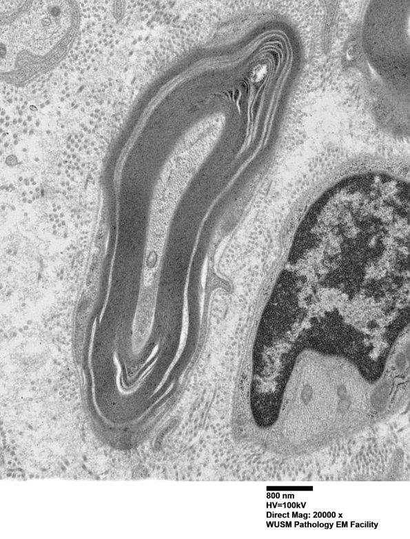
Washington University Experience | PERIPHERAL NEUROPATHY | 12 ANTI-MAG NEUROPATHY | 7C1A Anti-MAG (Case 7) sural_007 - Copy

7C1A Anti-MAG (Case 7) sural_007 - Copy
7C1A,B Successively higher magnification images of WSM in this axon. (electron micrographs)


Gallery RSS RSS Feed | Archive View | Login | Powered by Zenphoto