Table of Contents



Washington University Experience | PERIPHERAL NEUROPATHY | 12 ANTI-MAG NEUROPATHY | 7C3B Anti-MAG (Case 7) sural_003 - Copy

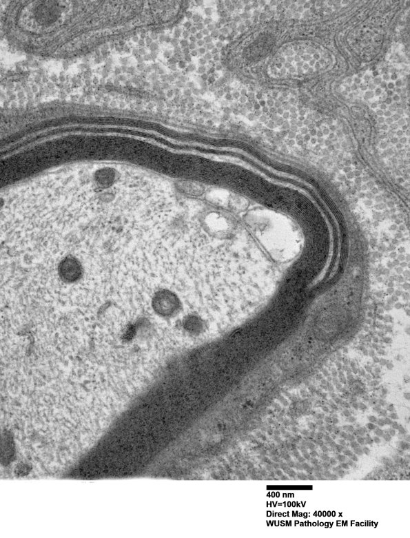
7C3B Anti-MAG (Case 7) sural_003 - Copy
Note the junction with the intact myelin sheath. (electron micrographs)


Gallery RSS RSS Feed | Archive View | Login | Powered by Zenphoto