Table of Contents



Washington University Experience | PERIPHERAL NEUROPATHY | 12 ANTI-MAG NEUROPATHY | 7C4A Anti-MAG (Case 7) sural_004 - Copy

7C4A Anti-MAG (Case 7) sural_004 - Copy
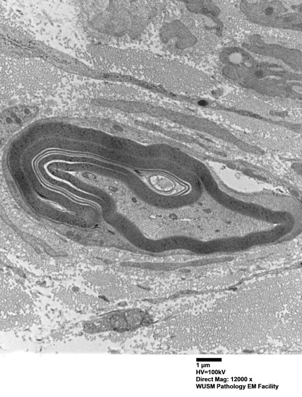
7C4A,B WSM in an oddly shaped myelinated axon. (electron micrographs)


Gallery RSS RSS Feed | Archive View | Login | Powered by Zenphoto