Table of Contents



Washington University Experience | PERIPHERAL NEUROPATHY | 12 ANTI-MAG NEUROPATHY | 7C5A Anti-MAG (Case 7) 006 - Copy

7C5A Anti-MAG (Case 7) 006 - Copy
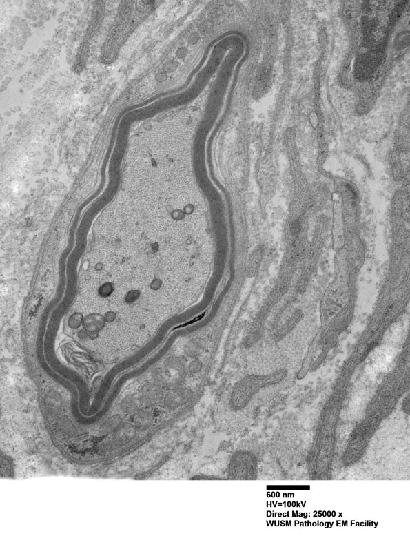
7C5A,B Again, notice the involvement of a Schmidt-Lanterman cleft. (electron micrographs)


Gallery RSS RSS Feed | Archive View | Login | Powered by Zenphoto