Table of Contents



Washington University Experience | PERIPHERAL NEUROPATHY | 12 ANTI-MAG NEUROPATHY | 7D Anti-MAG (Case 7) sural_001 - Copy

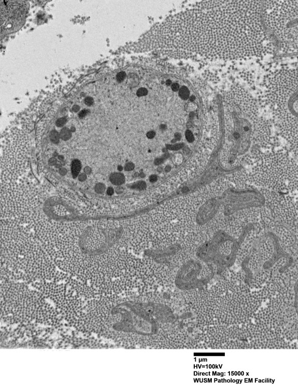
7D Anti-MAG (Case 7) sural_001 - Copy
A completely demyelinated axon. (electron micrograph)


Gallery RSS RSS Feed | Archive View | Login | Powered by Zenphoto