Table of Contents
Washington University Experience | PERIPHERAL NEUROPATHY | 12 ANTI-MAG NEUROPATHY | 8A3 WSM Mimic (Case 8) Normal nerve EM004 - Copy
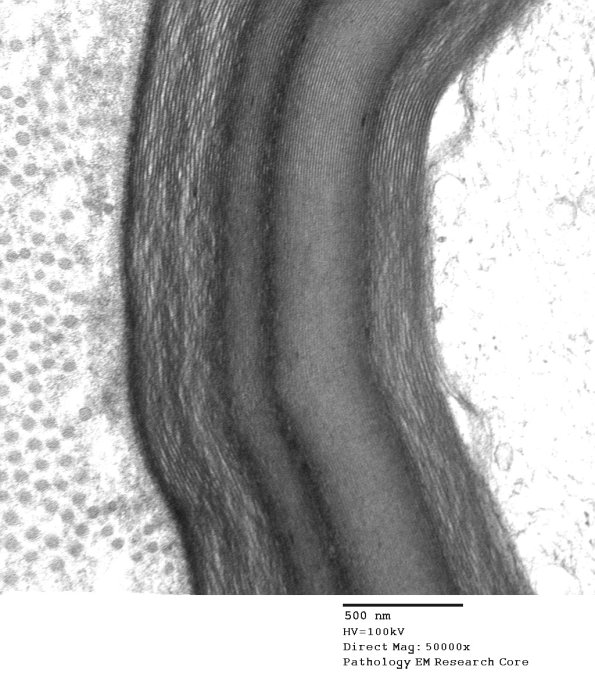
Successively higher magnifications fail to show any change in periodicity. This difference in myelin osmiophilia may be similar to “two-toned myelin”. (electron micrograph)
