Table of Contents
« prev
next »
Washington University Experience
|
PERIPHERAL NEUROPATHY
|
12 ANTI-MAG NEUROPATHY
|
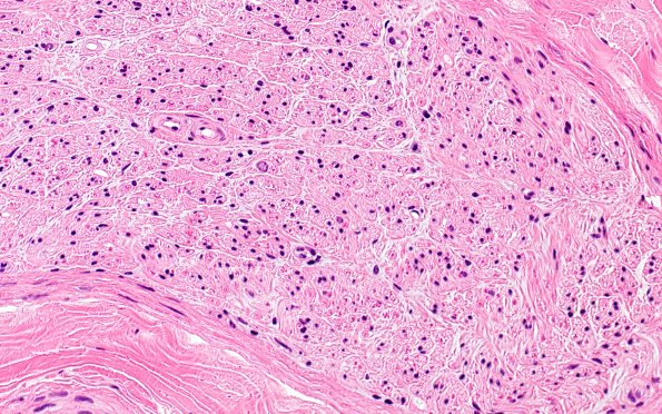
9A2 (Case 9) H&E 40X 2
There is no inflammation. Endoneurial pallor is shown in one fascicle which is a bit cellular. (H&E).
Image Info
Camera Maker:
Olympus
Camera Model:
DP74
Shutter Speed:
43/6014 sec
Metering Mode:
Multi-Spot
Gallery RSS
|
Archive View
|
Login
|
Powered by
Zenphoto